右上顎大臼歯、ワイドショートインプラント
右上顎の第一大臼歯が腫れて、膿が出て、幾度か根管治療をされたのですが、症状は改善せず、再発を繰り返していたそうです。
もう抜歯しなければ、症状は消失しないと言われたため、抜歯してインプラントにしたいとのご希望で、来院されました。
まずは抜歯して、数か月治癒を待ちました。
CTを撮影してみると、骨の高さが3mm程しかありませんでした。
サイナスリフトという、やや大きな骨造成手術を行う方が確実に骨を増やせるのですが、大きな手術は怖いとのことでした。
そこで、ワイド径のインプラントを使用して、骨造成術を回避する方法を提案させていただきました。
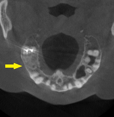
これならと同意いただけましたので、本日、直径6mm、長さ7mmのインプラントを人工骨を用いることなく埋入しました。
下の写真、2段目が手術前、3段目が手術後のCTです。






