選ばれる理由
1歯35万円(税込38万5000円)のわけ

- 治療がヘタだからではありません
- 治療のレベル、クオリティを下げているからではありません
- 極端に安いメーカーのインプラントを使っているわけではありません
- 技工料金の安い中国の歯科技工所を使っているわけではありません
手術も、写真のように十分な装備で行っています。
大学の附属病院や、市民病院の口腔外科に長年勤務し、口腔外科手術を行なっていた院長が、手術をいたします。骨造成術も自院で行い、手術に対する技術力には、自信と誇りを持っています。
上部構造には、耐久性、審美性に優れたセラミック冠しか使用しません。劣化してしまう樹脂や銀合金は使用しません。ただ単に、患者様のために、より多くの方にインプラント治療を受けていただけるように、利益部分を少なくしているだけです。
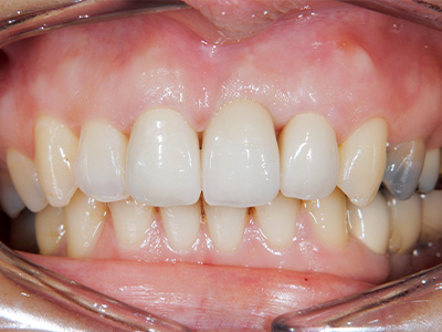
ただし、非常に高いレベルの審美性(見た目の美しさ)は目指しません。見た目の美しさについても、可能な限り配慮しますが、患者様の要求されるものと差が生じることがあり、患者様の100%の満足が得られない場合もあるために、超審美的と言われるような美しさはお約束できないと、説明させていただいています。それでも、多くの患者様にご納得いただける程度のレベルの審美性は、達成できていると考えています。
-
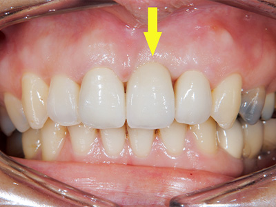
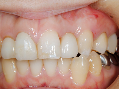
例えば、上顎前歯2本のうち向かって右の歯がインプラントなのですが、歯肉がわずかに上にあがってしまい、全くの左右対称にはできずに、右の歯の方が少し長くなってしまっています。
-
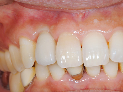
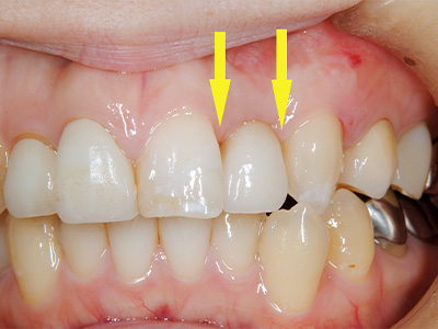
これなどは、もう少し長くなっていますが、口唇を上に引っ張らない限りはそれが見えませんので、これらの患者様は、これでご満足いただけています。
-
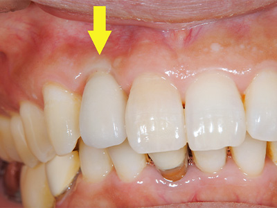
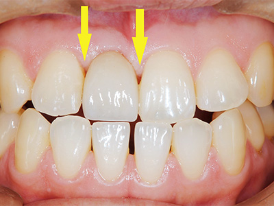
一見それほど問題にならない程度には仕上がっていますが、隣の歯との間、歯肉の間に空間が残っており、中にはご満足いただけないこともあります。
幸いにして、この患者様方には、あらかじめ、見た目についてのご説明をさせていただいた上で、インプラント治療を始めていますので、ご納得、ご満足いただいております。
審美性をさらに高め、天然歯とまったく区別ができない様にしようと思えば、追加の費用をいただいて、歯肉の移植術を行なうなど、方法はありますが、その患者様のお考えになるレベルが様々で、ご満足いただけない場合もあり、当院では、非常に高度な審美性はお約束できないと、ご説明させていただいています。
インプラント費用に対する考え
口腔外科で、長年にわたり外科手術を多数行ってきた者にとって、インプラント埋入手術は難しいものではありません。
例えば、患者様の生死を左右してしまう、口腔がんの手術に比べれば、ずっと易しいものです。
取り残しのないよう、完全に切除しなければならないプレッシャー、予期せぬ大出血や神経損傷、術後機能障害のリスク等に耐えながら行う、舌悪性腫瘍切除術で約26万円(税込約28万6000円)、下顎骨悪性腫瘍切除術で約40万円(税込約44万円)です(平成30年4月の保険改正時点)。
これらは、当然全身麻酔下で、麻酔科担当医、看護師、手術助手など数名の手術チームで行う手術で、かなりの装備が必要です。それでこの費用です。保険治療との単純な比較には、異論もあるかもしれませんが、それにしても、これら口腔外科手術に較べれば、インプラント手術は、骨造成術も含めて、難しいものではありません。
ですから、手術費用を15万円(税込16万5000円)に設定して、より多くの患者様に治療を受けていただきたいと、考えています。
インプラント治療費の大半は、技術料です。
原材料費、使用する器具の原価償却費などを積算し、利益を何パーセントつける、という一般の商品の値段の付け方とは、異なる考え方で費用を決めるものです。
しかも自由診療ですから、どんな費用設定をしても、構わないと思います。
私が治療を始めた1980年代は、日本で導入され始めた頃で、「インプラントって本当に大丈夫か?」と多くの歯科医師が、まだ信頼していませんでした。
事実、一部の大学歯学部の教授は、「まだ、自分の大学で導入すべきものではない」として、インプラント治療を始めない大学病院もあったほどです。それでも、素晴らしい治療法であると、この時期に治療を始めた歯科医師たちは、設備、器具、研究に、相当な費用をかけていました。そして、リスクも負っていました。
まだ機材なども高価だったので、この頃に1歯50万円(税込55万円)とか60万円(税込66万円)なら、妥当なところかと思います。
しかし、現在は、十分に信頼のおける治療法として確立されています。必要な初期費用もずいぶん安価になっています。
それなのに、治療費用が昔のままというのは、私は、患者様に申し訳ないと思います。先にも述べましたが、治療費の大半は、技術料です。
素晴らしい治療法なのですから、これを下げて、より多くの方に、インプラント治療を受けていただきたいと考えます。







