患者様は名古屋在住の50代男性。
上顎前歯2本がグラグラして、歯肉も腫れているため、近くの歯科医院を受診したところ、2本とも、歯を支える骨が大きく吸収され、保存は不可能と説明されたそうです。
抜歯して、インプラントか、ブリッジか、入れ歯と言われ、できればインプラントにしたいと希望されたのですが、骨の吸収が大きく、困難であると言われてしまったそうです。
左下顎のインプラントがうまくいっているので、この部位もインプラントができないかと、ご友人のご紹介で、当院においでになりました。
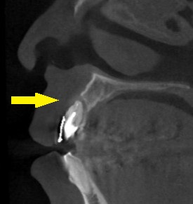
レントゲン写真、CTを撮ってみると、下の写真、中段のように歯根の先まで、骨が吸収されてしまっていました。
それでも、抜歯して、2~3か月後の早めの時期に、インプラント埋入と同時に、人工骨を用いた骨造成術を併用して行うことで、インプラント治療が可能であると説明させていただきました。
患者様の同意が得られましたので、本日、予定どおりの手術を施行しました。
下の写真3段目が手術後のCTとなります。
上顎前歯連続2歯の骨造成症例
今週のインプラント症例



