1歯欠損は、迷わず健全歯を削らないインプラントで

患者様は名古屋在住の40代女性。
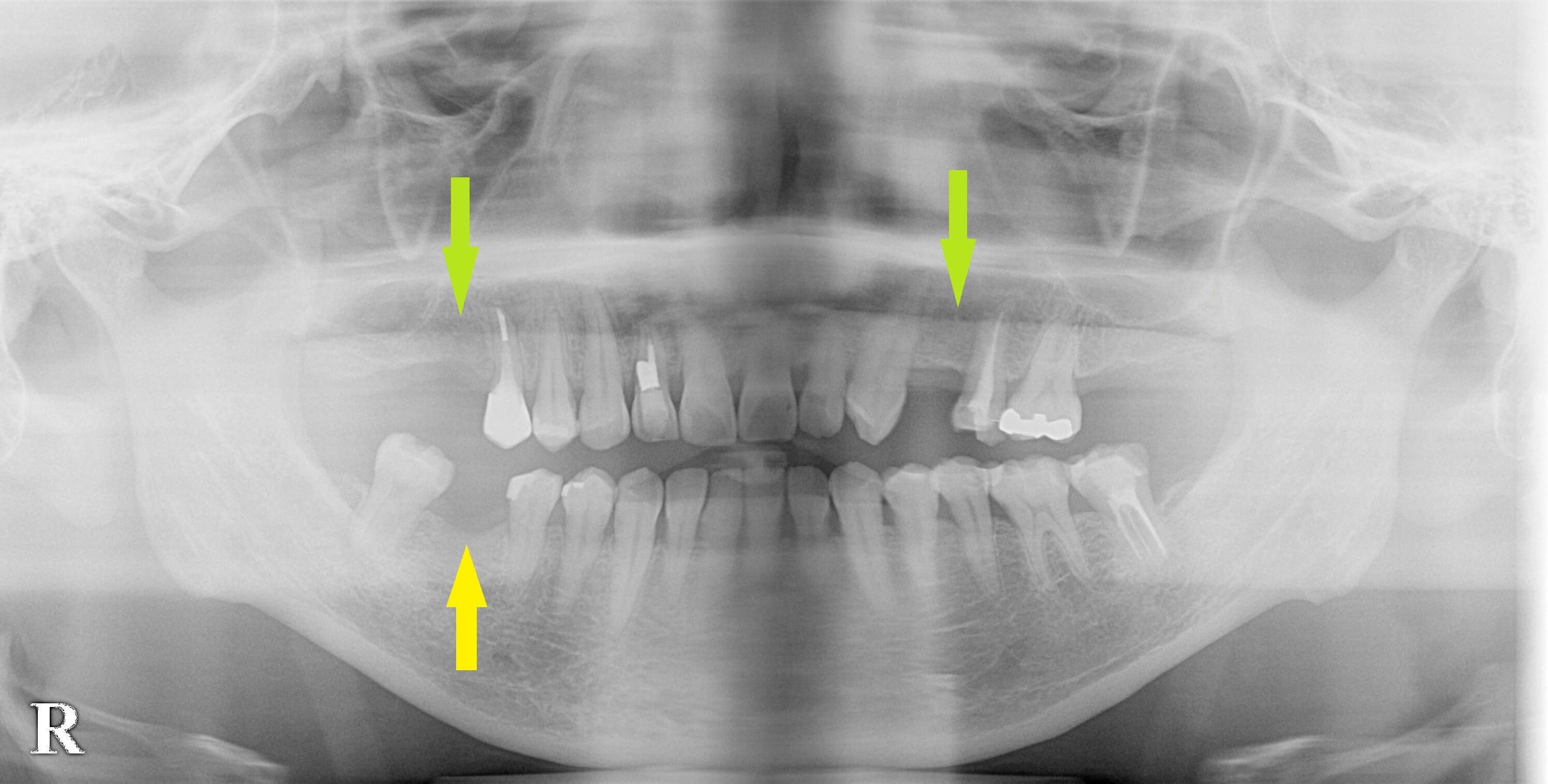
何本か歯が抜けているのですが、今回は右下顎の第一大臼歯のみの、インプラント治療を希望されて来院されました。
CTにて骨量は問題ありませんでしたので、本日インプラント埋入術を行いました。
この歯の治療が上手くいったら、右上顎の第一大臼歯と左上顎の第一小臼歯も考えたいとのことでした。

これまでのインプラント症例一覧は
こちら

Facebook
Instagram|名古屋 インプラント治療の名医 歯医者 かすや歯科医院