大臼歯はやはりインプラントで回復

患者様は名古屋在住の20代女性。
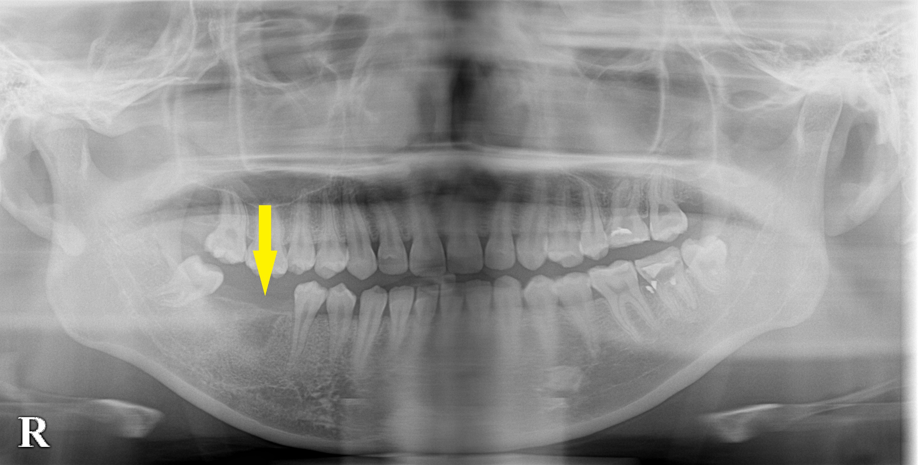
まだお若いのですが、右下顎の大臼歯の虫歯が大きく、歯が破折してしまって抜歯せざるを得なくなったそうです。
義歯は受け入れ難いので、インプラント治療を希望されて当院に相談に来られました。
骨の量は問題なく1本だけの回復を希望されましたので、同部に本日インプラント埋入術を行いました。
CT画像|インプラント治療で選ばれる名古屋の歯科医院

これまでのインプラント症例一覧は
こちら

Facebook
Instagram|名古屋 インプラント治療の名医 歯医者 かすや歯科医院