患者様は名古屋在住の30代女性。
右上顎の前歯の歯肉が何度も腫れてきて、その度に歯肉切開や投薬、歯根治療を繰り返しされてきたそうです。
それでも症状は収まらないので、もう抜歯してブリッジかインプラントにしなければならないと言われたそうです。
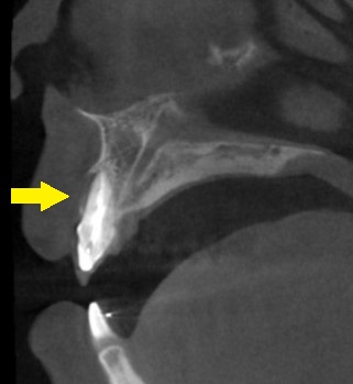
CTで見ると、この歯の唇側の骨が吸収されて、膿も出ていると思われました(下の写真下段左)。
おそらく、歯根の側方に亀裂か、穴が空いていて、歯根の治療では細菌が完全に排除できないためではないかと考えられました。
抜歯して、インプラントが良いのではないかと説明させていただき、了承していただけました。
まずは抜歯し、歯肉の治癒を2か月待って、インプラント埋入と同時に、骨のなくなった唇側に人工骨を補填して、骨造成を行いました(下の写真下段右)。
上顎前歯の骨造成症例
今週のインプラント症例

