下顎小臼歯の抜歯即時埋入症

患者様は名古屋在住の60代男性。
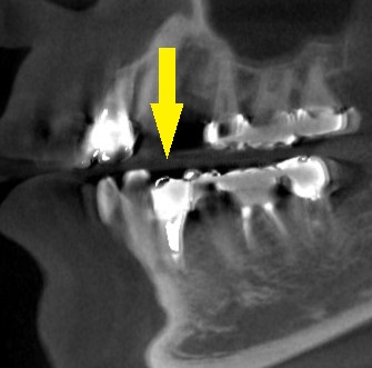
左下顎の第一小臼歯が歯根の破折を起こし、抜歯が必要となりました。
以前に、他の歯をインプラント治療されていて、この歯もダメだったらインプラントにしたいとのご希望でした。
周囲の骨の状態は問題ありませんでしたので、抜歯してそのままインプラントを埋入する、抜歯即時インプラント埋入術を行うことでご了承いただけました。
本日、小臼歯を抜歯、インプラントの埋入を施行しました。
下の写真が、手術前後のCTです。

インプラント治療で選ばれる名古屋の歯科医院 インプラント治療で選ばれる名古屋の歯科医院
インプラント治療で選ばれる名古屋の歯科医院 インプラント治療で選ばれる名古屋の歯科医院

これまでのインプラント症例一覧は
こちら

Facebook
Instagram|名古屋 インプラント治療の名医 歯医者 かすや歯科医院