インプラントに満足いただけると、次もインプラントを希望していただけます

今週のインプラント症例

患者様は名古屋在住の40代女性。
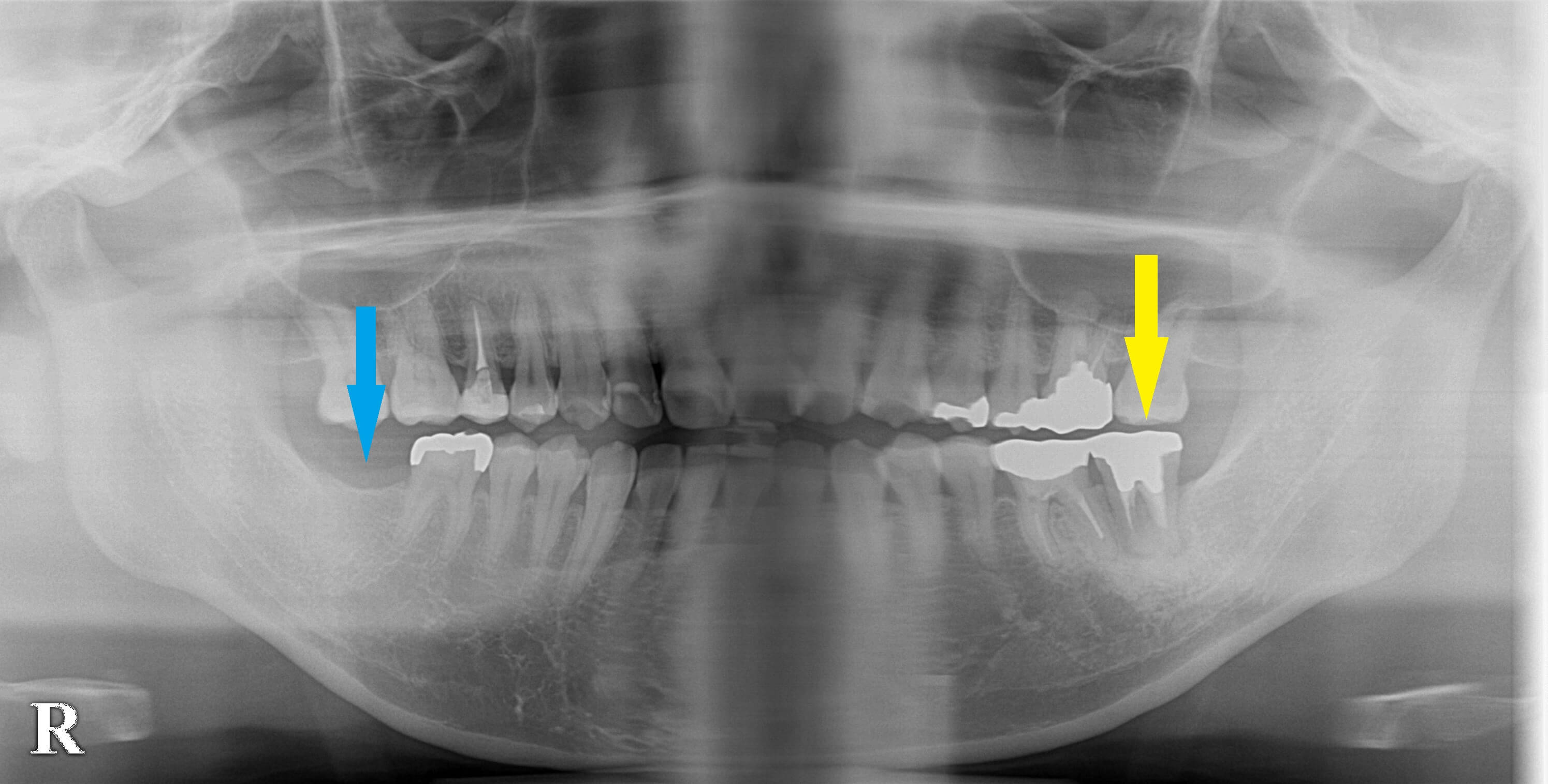
数か月前に右下顎第二大臼歯の欠損(写真青矢印)で、インプラント治療を希望されて来院され、1本インプラント埋入を行って上部構造を装着し治療が終了していた患者様です。
来院当初から、左下顎の第二大臼歯も歯根破折が疑われ、症状がひどくなったら、抜歯してインプラントが必要と説明をさせていただいていました(写真黄矢印)。
右下顎のインプラントに大変満足いただいていたので、左もインプラント治療で同意いただけました。
抜歯後、治癒を待って本日インプラント埋入術を行いました。