選ばれる理由
骨造成・骨移植
顎骨の量(幅、高さ)が不十分で、通常の方法ではインプラントが埋入できない場合があります。
こんな場合、以前はインプラント治療をあきらめなければなりませんでした。
しかし技術、材料の発達によって、顎骨を造り出して、インプラントを埋入できるだけの骨量を確保するために、様々な方法が考えられ、確立されてきました。 これが骨造成です。 患者様自身の、下顎などの豊富にある部分の骨を採取して不足部分に移植する、自家骨移植。骨に置換する人工材料を、不足する部分に補填する方法。両方を混合する方法などがあります。
骨が不足しているからインプラント治療は無理と言われた方は、一度ご相談ください。
自家骨移植術の例01
-

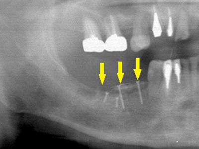
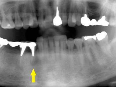
40代女性。上顎前歯を抜歯、虫歯と歯槽膿漏の状態が悪く、抜歯されたのですが、歯を支える歯槽骨が大きく吸収されてしまっていました(黄色矢印)。
インプラント治療を希望されていたのですが、下顎骨の中を通る神経(赤色矢印)が近接していて、骨が不足しているためインプラントの埋入が困難な状況でした。 -

患者様の智歯の辺りから、患者様ご自身の骨を採取し、移植した後のレントゲン写真です。
採取した骨片を、小さなチタン製のスクリューで固定してあります。
これが遊離自家骨移植術です。 -

骨移植手術数か月後に、移植した骨片が周囲骨に生着したので、インプラントを埋入した時のレントゲン写真です。
十分な骨量が確保されていましたので、下方を走行する神経を損傷することなく埋入が可能になりました。 -

インプラント埋入術後、インプラントが骨に生着したので二次手術を行った後の写真です。
骨吸収の大きかった部位に、きっちり3本のインプラントが植立できました。 -

上部構造完成後のレントゲン写真です。
移植した骨片は周囲骨と一体化し、レントゲンでは周囲骨との区別がつかない状態になっています。 -

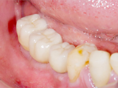
上部構造が完成した時の写真です。
見た目もきれいで、何でも食べられるようになっていただけました。
このように、外科的高い技術レベルで、しかも審美的にもレベルの高いインプラント治療を、低価格でご提供できるのが、かすや歯科医院の真骨頂です。
- 【 費用と期間 】※インプラント治療は自由診療です。
-
費用 - 自家骨移植術(2歯)
- 20万円(税込22万円)
- インプラント埋入手術(3本)
- 45万円(税込49万5,000円)
- オールセラミック(3歯)
- 60万円(税込66万)
- 合計
- 125万(税込137万5,000円)
期間 初診から約10か月
- 【 リスクと副作用 】
- インプラント埋入手術は外科治療のため、腫れ、痛みが出る可能性があります。
細菌に感染してしまうと、失敗になってしまうことがあります。当院では滅菌操作を徹底して感染リスクを抑えます。
治療終了後は、インプラント周囲炎にならないために、通常の歯と同じように丁寧なブラッシングや定期メンテナンスが必要です。
自家骨移植術の例02
-

患者様は50代男性。インプラント治療前のレントゲン写真です。
右下顎大臼歯2本の抜歯後のレントゲン写真で、写真の黄色矢印は、歯の周囲の歯槽骨が大きく吸収されてしまっていました(黄色矢印)。 -

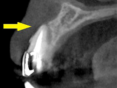
CTで見ると、骨吸収の様子が良く分かり、下顎骨の中を通る神経近くまで骨がありませんでした(黄色矢印)。
-

さらに、CTで別な方向から見ると、黄色矢印のように骨が吸収されていて、緑色矢印で示される神経の通る管に迫り、インプラントが埋入できるような骨量はありませんでした。
-

インプラントを埋入するために骨を増やす方法はいくつかありましたが、この場合、患者様ご自身の骨をブロック状で移植するのが最も適していると判断し、自家骨移植術を行ないました。
患者様ご自身の下顎前歯の下方から骨を採取して、骨がなかった部位に移植しスクリューで固定したCT画像です。
黄色矢印部分が、2つの骨片を移植して、固定したところです。 -

手術後の、別な方向からみたCT画像です。
術前に大きく吸収されていた部分に骨のブロックが移植され、骨が造成されています。
真っ白にピンのように写るのは(黄色矢印)、骨を固定した小さなスクリューです。 -

移植した骨が周囲の骨と結合したのを待ち、6か月後にインプラント埋入手術を行いました。
写真がインプラント埋入後のCT画像で、黄色矢印に示すようにインプラントが2本埋入できました。 -

インプラント埋入後の、別な方向からみたCT画像です。
神経の通る管にややギリギリでしたが、神経は傷つけずにインプラントが埋入できました(黄色矢印)。
この後、4か月ほどで咬む歯の部分、上部構造を完成させました。
- 【 費用と期間 】※インプラント治療は自由診療です。
-
費用 - 自家骨移植術(2歯)
- 20万円(税込22万円)
- インプラント埋入手術(3本)
- 30万円(税込33万)
- オールセラミック(3歯)
- 40万円(税込44万)
- 合計
- 90万(税込99万)
期間 初診から約11か月
- 【 リスクと副作用 】
- インプラント埋入手術は外科治療のため、腫れ、痛みが出る可能性があります。
細菌に感染してしまうと、失敗になってしまうことがあります。当院では滅菌操作を徹底して感染リスクを抑えます。
治療終了後は、インプラント周囲炎にならないために、通常の歯と同じように丁寧なブラッシングや定期メンテナンスが必要です。
サイナスリフト
上顎骨の臼歯部(奥歯)では上顎洞という空洞(サイナス)があって、骨が薄いことが多くあります。インプラントを埋入し、安定を得るためには骨の量が不足します。こんな場合、この部分に患者様自身の他の部位(下顎の智歯の部分など)から骨を移植したり、人工材料を填入したり、あるいは骨と人工材料を混合して填入して骨を増量します。
空洞部分をサイナスといい、その底の部分を持ち上げるような(リフトアップする)かたちで骨造成を行いますので、サイナスリフトと呼びます。
上顎の臼歯の頬側の骨に窓を開け、そこから骨や、充填材料を補填します。
サイナスリフトの例01
-

50代男性。左上顎の臼歯を喪失し、義歯を使用されていました。
義歯の具合が悪く、インプラント治療を希望されていました。 -

レントゲン写真のように、骨が薄くインプラント埋入が困難で、インプラント治療をあきらめていました。
-

そこで、サイナスリフトで骨造成を行い、インプラント埋入を可能にします。
上顎洞といわれる空洞部分に骨補填材を填入し、6か月ほど骨補填材が骨に置換されるのを待ちます。レントゲン写真は、術後6か月の写真。
白くドーム状に骨が形成されているのが分かります。これでインプラントの埋入が可能になりました。 -

レントゲン写真がインプラント埋入術後の写真です。
十分な骨が確保され、2本のインプラントがきっちり生着しています。 -

上部構造を作製、完成したところ。
とても良く咬めるようになり、審美的にも満足していただけました。
サイナスリフトの例02
-

患者様は40代女性。患者様の治療前のレントゲン写真です。
右上顎の大臼歯を喪失し延長ブリッジを装着されていたのですが、支える歯が破折してしまい抜歯が必要となりました。
ここにインプラント治療を行うには、骨が薄くて、困難な状態でした。 -

CTで見ると、骨が薄いのが良く分かります。
黄色の矢印の部分、白く写るのが骨で矢印のある黒い部分が上顎洞という空洞です。 -

この空洞部分に人工骨を入れて、閉鎖しておくと数か月ほどで骨に置き代わっていき、インプラントを埋入できるだけの骨量になります。
サイナスリフトが終了して、数か月経過し薄かった骨が十分な厚みができたCT画像です。
黄色矢印の部分、白く写る骨が増えています。 -

サイナスリフトを行って8か月後に、インプラントの埋入手術を行いました。
骨が十分にあったので、通常の長さのインプラントが埋入できました。
ソケットリフト
サイナスリフトと同様に、上顎の臼歯部の骨が薄い場合に行います。
サイナスリフトは、臼歯の頬側にやや大きめな窓を開けてそこから骨や補填材料を入れるのに対し、ソケットリフトは、インプラントを埋入するために開けた穴から、骨や補填材料を填入しますので、サイナスリフトよりは侵襲が少なくてすみます。
ソケットリフトの例01
-

60代女性。矢印の部分が骨の薄い部分です。
-

インプラント埋入手術時に、インプラントを埋入する穴から骨補填材料を填入。
インプラント周囲にドーム状に骨が形成されています。
ソケットリフトの例02
-

患者様は70代男性。写真は初診時の患者様のレントゲン写真です。
左右とも、上顎第一大臼歯を失っていました。
通常のレントゲン写真では骨量が十分かと思われましたが、CTを撮影してみると黄色の矢印部位、左側では少し骨の高さが足りませんでした。 -

CTを撮影して測定すると、右側はギリギリ10mmぐらいの高さで、左側は6mmほどしかありませんでした。
-

そこで、左側はソケットリフトを併用して行いました。
インプラント埋入手術後のCT、黄色の矢印部分、インプラント周囲にドーム状に補填材が白く写り、インプラントがしっかりと埋入できています。
遊離自家骨移植(ボーングラフト)
骨の高さが不足する場合に、インプラントを埋入する部分の上の乗せる形で骨(ボーン)を移植(グラフト)するのをオンレーグラフト、骨の厚みが不足する場合に側面に貼り付けるように骨を移植するのをベニアグラフト、穴状の骨欠損の中に骨を移植するのをインレーグラフトといいます。
よほど大量の骨が必要な場合でなければ、患者様の下顎の真ん中(オトガイ部)や智歯のあたりから骨を採取すれば可能です。
-

50代女性。左写真黄色矢印部の歯の周囲は、重度歯周病で大きく歯槽骨が吸収されてしまい、下方赤色矢印部の神経まで距離がなく、インプラント埋入には骨の高さが不足しています。
-

そこで、青色矢印部、智歯周辺の骨を採取し黄色矢印部に骨片を移植、チタン製の小さなスクリューで骨片を固定して、骨の生着を待ちます。
-

骨移植後数か月待って、移植した骨片が周囲骨と一体化した後、インプラントを埋入します。
骨の高さが十分に確保され神経を傷つけることなく、安全にインプラント埋入手術ができます。
写真が、インプラント埋入手術後、右写真が上部構造装着後のレントゲン写真です。 -

移植骨片と周囲骨とは、ほとんど境目が分からなくなっています。
これが、遊離自家骨移植術です。
骨補填材料による骨造成
骨欠損部が4面ともご自身の骨で囲まれていて落とし穴を掘ったような状態であれば、何も自分の骨を取らなくても、骨補填材料のみを用いて骨造成を行います。
-

20代女性。写真矢印部、右下顎の小臼歯1歯と大臼歯2歯の虫歯がひどくて、歯を支える骨まで吸収されてしまいました。
-

骨の吸収が大きくインプラント埋入が困難でしたが、写真矢印部、ここに骨補填材料を填入し、骨造成を施行しました。
また、4面が骨で囲まれていないような骨欠損の状態で、骨の厚みや高さが不足する場合は骨補填材料と周囲の自家骨を混ぜて補填し、これを特殊な人工の膜(メンブレン)で覆って行う、骨造成法があります。
最近では、自家骨のみよりも、この方法が主流になってきているようです。
-


40代女性。上顎の右前歯が差し歯になっていたのですが、歯の根の先の部分が腫れを繰り返し歯根の破折も考えられるとのことで、抜歯してインプラントかブリッジかと説明されたそうで、インプラント治療を希望されて当院に相談に来られました。
CTでみると、歯の根の外側の薄い骨がなく、ここに炎症を起こすと症状の改善は難しい状態でした。
抜歯してインプラントということで了承され、抜歯即時インプラント埋入も考えられたのですが、歯の根の状態、骨の状態を考えて、抜歯して治癒を待ってインプラント埋入をすることとしました。 -

抜歯して5か月経過後にCT撮影すると非常に良く治癒していましたが、骨の厚みが4mm程しかありませんでした。
そこで、インプラント埋入と同時に外側に人工骨と自家骨を混合して補填し、人工の膜(メンブレン)で覆うという、骨の厚みを造成する手術(GBR)を併用しました。 -

手術後のCTです。
うまくインプラント埋入、骨造成ができていると思います。
リッジエクスパンジョン
上顎前歯部で多く見られるのですが、骨の高さはあっても、骨の幅が非常に薄くて、鋭利な刃物のような形(リッジ状)をしていて、インプラントを埋入するのに必要な厚み(骨幅)が不足している場合があります。
この場合に、薄い顎骨を2枚おろしにするように押し開いて拡大し(エキスパンジョンし)、骨幅を確保してインプラントを埋入する方法です。
開いた空間には骨補填材料や自家骨を充填しておきます。
- 【 費用と期間 】※インプラント治療は自由診療です。
-
費用 - 加算
- 7万円(税込7万7,000円)
期間 3~5か月
- 【 リスクと副作用 】
- インプラント埋入手術は外科治療のため、腫れ、痛みが出る可能性があります。
細菌に感染してしまうと、失敗になってしまうことがあります。当院では滅菌操作を徹底して感染リスクを抑えます。
治療終了後は、インプラント周囲炎にならないために、通常の歯と同じように丁寧なブラッシングや定期メンテナンスが必要です。
以上のように、代表的な骨造成法を紹介しましたが、当然のことながら、他にもまだまだテクニックは存在します。
しかし上記の如く、患者様にうまく伝えることが、非常に困難に感じます。今後も様々な方法、材料が考案されていくと思いますが、日々研鑽に努め、最適な方法を提供できるようにと考えております。