サイナスリフトと側方への骨造成、両方行った症例
まだお若いのですが、右下顎と左上顎の臼歯を多数抜歯され、義歯を作製されたのですが、とても受け入れがたいもので、使用していなかったそうです。
インプラント治療を希望されたのですが、左上顎は骨が非常に薄くて、できないと言われたそうです。
お知り合いの方に当院を紹介されて来院されました。
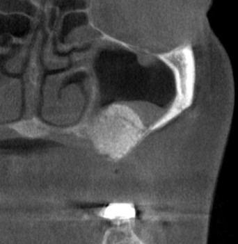
左臼歯に、3歯は必要と思われましたが、CTを見ると、1本目は骨の幅が狭く、2本目、3本目は骨の高さが足りません。
薄いところでは1mm程しかありませんでした(下の写真、2段目)。
そこで、まず、2本目、3本目の部位に、サイナスリフトという上方の空洞に人工骨を填入する骨造成術を行いました(下の写真、3段目)。
後ろ2本の骨の高さは確保できましたので、インプラント埋入を行ないました。
1本目の部位では、インプラント埋入と同時に、側方に人工骨を補填して骨幅を拡大する造成術を併用して、3本のインプラント埋入が終了しました(下の写真、4段目)。











